Publicaciones

Esta sección incluye una lista de los últimos artículos científicos del IPNA publicados en revistas incluidas en el Science Citation Index (SCI).

En DIGITAL.CSIC, repositorio institucional del CSIC, pueden encontrar el listado completo de artículos científicos desde 1962, así como otras colecciones de interés como congresos, tesis, libros, material divulgativo, etc. del centro. El objetivo de DIGITAL.CSIC es organizar, preservar y difundir en acceso abierto los resultados de nuestra investigación.

En el repositorio institucional del CSIC, pueden encontrar el listado completo de artículos científicos, así como otras colecciones de interés como congresos, tesis, libros, material divulgativo, etc.

Ir a Digital - CSIC

 

Análisis de la Producción Científica del IPNA 2014-2019: análisis bibliométrico realizado a partir de datos recogidos en Scopus y Web of Science.

Image
Digital CSIC

Synthesis, Biological Evaluation, and Molecular Docking Study of 3-Amino and 3-Hydroxy-seco A Derivatives of α-Amyrin and 3-Epilupeol as Inhibitors of COX-2 Activity and NF-kB Activation

In this study, a series of novel 3-seco-A derivatives of the natural triterpenes α-amyrin (1) and 3-epilupeol (2) were synthesized by a one-pot radical scission–oxidation procedure and evaluated in vitro and in vivo for their capacity to inhibit the inflammatory process. For the in vitro studies, the trans-4-hydroxy-l-proline methyl ester derivatives (1f and 2f) were consistently effective in inhibiting NO, IL-6, and TNF-α secretion, as well as inhibition of NF-κB activation, in RAW cells stimulated by LPS. The further in vivo anti-inflammatory study revealed that the trans-4-hydroxy-l-proline methyl ester derivatives (1f and 2f), together with 1g, were the most effective in inhibiting TPA-induced edema. Interestingly, the α-amyrin derivatives were the most potent inhibitors of COX-2, but inhibited COX-1 only to some extent. The hydroxyl derivative (1c) was selective for COX-2 inhibition (66.3 ± 1.1% at 17.5 μM) without affecting the COX-1 isoform and did not present toxicity. Molecular docking studies revealed that these compounds bind with their polar region in the cavity over Arg-120, and their lipophilic part is orientated to the HEM cofactor similarly to the natural substrate arachidonic acid in the catalytic site of COX-2. These results indicated that seco-A ursane derivatives could be considered promising candidates for the future development of selective NF-κB and COX-2 inhibitors.

Romero-Estrada, Antonio; Boto, Alicia; González-Christen, Judith; Romero-Estudillo, Iván; Garduño-Ramírez, María Luisa; Said Razo-Hernández, Rodrigo; Marquina, Silvia; Maldonado-Magaña, Amalia; Columba-Palomares, María C.; Sánchez-Carranza, Jessica Nayelli; Álvarez, Laura.

Journal of natural products: 1-17 (2022)
DOIDigital.CSIC

Impact of Volcanic Sulfur Emissions on the Pine Forest of La Palma, Spain

In autumn 2021, the largest volcanic eruption on the island of La Palma in historic records took place. The Canary Islands are of volcanic origin and eruptions have always constituted part of their natural disturbance regime. Until recently, their impacts could not be directly observed and studied. Influence of the emission of phytotoxic gases on biodiversity and ecosystem dynamics was hitherto unknown. The recent eruption is still being intensely monitored. We used Sentinel-2 remote sensing data to analyze the spatial extent and intensity of the impact related to sulfuric emissions, aiming to understand the damage patterns in Canary pine forest. The emissions damaged 10% of that forest and affected 5.3% of the Natura 2000 protected areas. We concluded that this is largely due to the toxic effects of the enormous emissions of SO2. We found a clear correlation between the change in the normalized difference vegetation index (NDVI) and distance from the eruption. This pattern was weakly anisotropic, with stronger damage in southern directions. Counteracting effects, such as ash deposition, were largely excluded by combining NDVI change detection with tree cover density. We expect that vegetation damage will be transient. P. canariensis can resprout after forest fires, where most leaves are lost. Consequently, our assessment can serve as a reference for future ecosystem regeneration.

Wiser, Frank; Baumann, Esther; Jentsch, Anke; Medina, Félix Manuel; Meng, Lu; Nogales, Manuel; Beierkuhnlein, Carl.

Forests 13(2), 299: 1-19 (2022)
DOIDigital.CSIC

Limited ecophysiological variation in the Canary Island lizard Gallotia galloti (Oudart, 1839) across an elevational range of over 3500 m (Squamata: Lacertidae)

The lacertid lizard Gallotia galloti inhabits drastically different environments on the island of Tenerife, from sea level to > 3500 m, encompassing mesic as well as extremely arid sites. To obtain a first exploratory overview of the thermophysiology of lizards in this range of environments, we experimentally inferred preferred temperature (Tpref) and instant evaporative water loss (IWL) in 63 individuals from five bioclimatically distinct sites. We found statistically significant but weak differences between individual median Tpref values across sites, without an obvious relationship to bioclimate. Considering only adult male lizards, the highest Tpref values were found at one mesic and one very arid site. IWL differences were also significantly different across sites, and this variable was positively correlated with rainfall if analysed at the level of individual lizards, a hypothesis that requires testing against more extensive data sets. It appears that G. galloti occupies an extensive range of bioclimates without heavily adjusting its thermal physiology to local conditions.

Albaladejo-Robles, Gonzalo; Rodríguez, Noemi; Rodríguez-Concepción, Benza; Nogales, Manuel; Vences, Miguel.

Herpetology Notes, 15: 87-96 (2022)
Digital.CSIC

Sesquiterpene lactones as potential therapeutic agents against Naegleria fowleri

Naegleria fowleri is the causative agent the primary amoebic meningoencephalitis (PAM), a fatal disease in more than the 90% of the reported cases that affects the central nervous system. The amoeba infects the nasal cavity of mostly children and young adults who report previous aquatic exposure in warm water sources. The rapid progression of the disease and the lack of effective and safety therapeutic options make the search of new anti-amoebic compounds an urgent issue. In this study, twelve sesquiterpene lactones isolated from the zoanthid Palythoa aff. clavata were tested against the trophozoite stage of Naegleria fowleri. Anhydroartemorin (2) and 1(10)Z,4E,14-acetoxy-costunolide (3) showed the best anti-amoeboid activity values with IC50 23.02 ± 1.26 and 28.34 ± 6.27, respectively. In addition, the mechanisms of programmed cell death induction of these two molecules were evaluated with positive results for both compounds. Finally, a structure-activity relationship was analyzed to reveal the dependence of reactivity and lipophilicity on the biological activity. The log P values of the compounds were calculated to postulate them as good candidates to cross the blood-brain barrier, a limiting factor in the development of new anti-Naegleria treatments. Therefore, the mentioned sesquiterpene lactones could be considered as potential PAM therapeutic options in the future.

Arberas-Jiménez, Íñigo; Rizo-Liendo, Aitor; Nocchi, Nathália; Sifaoui, Inés; Chao-Pellicer, Javier; Souto, María L.; Suárez-Gómez, Blanca; DIAZ MARRERO, ANA RAQUEL ; Fernández, José J.; Piñero, José E.; Lorenzo-Morales, Jacob.

Biomedicine & Pharmacotherapy, 12(9), 112694: 1-9 (2022)
DOIDigital.CSIC

Sustainable Production of Insecticidal Compounds from Persea indica

In this work, we have investigated the accumulation of ryanoids in different plant parts (leaves, stems and roots) of aeroponically grown Persea indica cloned trees (one-year-old cloned individuals) and a selected mature, wild tree. We tested the insect antifeedant (against Spodoptera littoralis, Myzus persicae and Rhopalosiphum padi) and nematicidal (against Meloidogyne javanica) effects of ethanolic extracts from these different plant parts. The HPLC-MS analysis of P. indica extracts showed that mature tree (wild) leaves had two times more chemical diversity than stems. Aeroponic plants showed fewer differences in chemical diversity between leaves and stems, with the lowest diversity found in the roots. Ryanodane epiryanodol (1) was present in all the plant parts, with the mature stems (wild) containing the highest amount. The aeroponic stems also accumulated ryanoids including 1, cinnzeylanol (2) and cinnzeylanone (4). The insect Spodoptera littoralis was strongly affected by the stem extracts, while leaf extracts were moderately active. Based on predicted vs. real antifeedant values, we concluded that the ryanoid content (1 or a combination of 2, 4 and 1) explained the antifeedant effects of the stem extracts, while additional components contributed to the activity of the leaf extracts. Therefore, careful individual selection of P. indica seedlings should be carried out prior to proceeding with aeroponic cultivation in order to obtain ryanodane-rich stem or leaf extracts with strong antifeedant effects on S. littoralis.

González-Coloma, Azucena; Andrés, María Fe; Contreras, Rodrigo; Zúñiga, Gustavo E.; Díaz, Carmen E.

Plants 11(3), 418: 1-9 (2022)
DOIDigital.CSIC

The Nitration of Proteins, Lipids and DNA by Peroxynitrite Derivatives-Chemistry Involved and Biological Relevance

In recent years, much interest has been generated by the idea that nitrosative stress plays a role in the aetiology of human diseases, such as atherosclerosis, inflammation, cancer, and neurological diseases. The chemical changes mediated by reactive nitrogen species (RNS) are detrimental to cell function, because they can cause nitration, which can alter the structures of cellular proteins, DNA, and lipids, and hence, impair their normal function. One of the most potent biological nitrosative agents is peroxynitrite (ONOO¯), which is produced when nitric oxide (*NO) and superoxide (*O2¯) are combined at extremely rapid rates. Considering the plethora of oxidations by peroxynitrite, this makes peroxynitrite the most prevalent nitrating species responsible for protein, DNA, and lipids nitration in vivo. There is biochemical evidence to suggest that the interactions of the radicals NO and superoxide result in the formation of a redox system, which includes the reactions of nitrosation and nitration, and is a component of the complex cellular signalling network. However, the chemistry involved in the nitration process with peroxynitrite derivatives is poorly understood, particularly for biological molecules, such as DNA, proteins, and lipids. Here, we review the processes involved in the nitration of biomolecules, and provide a mechanistic explanation for the chemical reactions of NOS and nitrosative stress. This study reveals that these processes are based on a surprisingly simple and straightforward chemistry, with a fascinating influence on cellular physiology and pathology.

Pérez de Lastra, José Manuel; Andrés Juan, Celia; Plou Gasca, Francisco José; Pérez-Lebeña, Eduardo.

Stresses 2(1): 53-64 (2022)
DOIDigital.CSIC

Free-Radical Epimerization of D- into L-C-(glycosyl)methanol Compounds Using 1,5-Hydrogen Atom Transfer Reaction

A simple epimerization of C-(α-D-Gly p )methanol into C-(β-L-Gly p )methanol compounds is described. The radical sequence involved homolytic cleavage of the C5–H bond by 1,5-hydrogen atom transfer promoted by the 1’-O-yl radical and subsequent hydride addition with inversion of configuration. This methodology allows the preparation of rare C-(β-L-Ido p )-, C-(β-L-Altp)-, C-(β-L-Gulp)-, C-(β-L-Allp)methanol glycosides starting from carbohydrates of the D-series. It can also be applied to transform L- into D-configured C-glycosyl compounds, as illustrated by the formation of C-(β-D-6dGulp)- and C-(β-D-6dAltp)methanol from readily accessible L-rhamno and L-fuco analogs, respectively. In further development of this procedure compounds with C-(β-L-Araf)- and C-(β-L-5dRibf)methanol structures have also been synthesized. The alkoxyl radicals were generated by reaction of the corresponding N-alkoxyphthalimides with nBu3SnH(D) and in comparative terms, by visible light-photocatalysis using the Hantzsch ester/fac-Ir(ppy)3 procedure. The influence of the sugar ring conformation and the electronegativity of the substituents on the stereochemical outcome will be addressed.

Montes, Adrián S.; León, Elisa I.; Martín, Ángeles; Pérez-Martín, Inés; Suárez, Ernesto

European Journal of Organic Chemistry: 1-27 (2022)
DOIDigital.CSIC

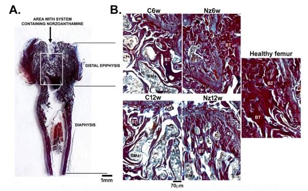
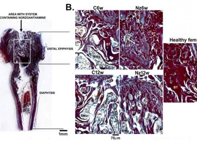
Osteoprotective effect of the marine alkaloid norzoanthamine on an osteoporosis model in ovariectomized rat

Norzoanthamine (NZ), an alkaloid that has been isolated from the marine cnidiaria Zoanthus sp., has been shown an interesting anti-osteoporotic activity. Although its mechanism of action is not yet clear, it seems that it is different from those of currently used drugs making it particularly interesting. Previous studies have been carried out mostly in vitro. Herein, we present an in vivo study that allows to check the real potential of NZ as a protector substance by direct application into ovariectomized rat bone using a sustained delivery system. Histological and histomorphometric results in ovariectomized rats showed higher bone quality as a result of greater number of trabeculae and osteogenic activity in the group implanted with NZ, compared to controls. In contrast with the untreated controls, NZ-treated groups showed a balanced osteoblast/osteoclast number ratio, similar to that found in the normal bone. These results suggest that NZ could be useful as adjunct to other osteoporosis treatments, but probably its main therapeutic role would be as preventive therapy against bone deterioration.

García-García, Patricia; Reyes, Ricardo; Évora, Carmen; Delgado, Araceli; Fernández, José J.; Hernández Daranas, Antonio.

Biomedicine and Pharmacotherapy 147, 112631: 1-9 (2022)
DOIDigital.CSIC

The role of expert judgments in wine quality assessment: the mismatch between chemical, sensorial and extrinsic cues

Purpose: The complexity in determining the quality of a credence good like wine increases due to the lack of mandatory ingredient labeling. This has generated a significant information asymmetry in the wine market, leading consumers to delegate their purchase decisions to expert rankings and wine guides. This paper explores whether expert assessments reduce the information asymmetry caused by the absence of ingredient labeling in the wine market.

Design/methodology/approach: By employing analysis of variance (ANOVA) in a sample of 304 wines included in the Wine Guide of the Spanish Consumers Organization (OCU), this paper assesses the extent to which expert assessments based on sensory evaluations converge with the objective cues provided by laboratory analysis in wine quality evaluations.

Findings: Results reveal a mismatch between expert assessments and laboratory analyses. Chemical aspects such as SO2 levels or volatile acidity, sensorial factors such as intensity and persistence, and extrinsic variables such as the region of origin or wine type play an important role in the quality ranking of wines.

Originality/value: These findings call for the inclusion of objective intrinsic cues in expert sensory assessments to provide consumers reliable information about wines and to resolve the apparent dissonances in wine quality assessments.

Parga-Dans, Eva; Alonso-González, Pablo; Otero-Enríquez, Raimundo.

British Food Journal: 1-29 (2022)
DOIDigital.CSIC

ConCiencia Histórica: la arqueología comunitaria como medio para la coconstrucción de conocimiento en un entorno rural

En la última década la arqueología comunitaria ha experimentado un importante crecimiento en España. Este crecimiento se explica, en algunos casos, por la necesaria reinvención de los arqueólogos tras el colapso de la profesión ligada a la crisis económica que se inicia en el 2009; en otros casos está relacionado con la cada vez más demandada divulgación científica dentro del marco de la transferencia de conocimiento. Esto ha supuesto la realización de programas didácticos paralelos a los proyectos de investigación arqueológica. En este artículo presentamos la experiencia de arqueología comunitaria realizada por el grupo de investigación Llabor que lleva a cabo los trabajos arqueológicos en el yacimiento de Vigaña, el colegio público y el Ayuntamiento de Balmonte de Miranda. Un ensayo que puede ser un buen ejemplo para desarrollar experiencias similares en ámbitos rurales.

Fernández Mier, Margarita; López Gómez, Pablo; Peláez Álvarez, Nuria; Domínguez Álvarez, Teresa; Menéndez Martínez, María; Rodríguez Pérez, Santiago; Villa Varela, Aida; Alonso-González, Pablo; Fernández, Xosé Antón Ambás; Ilesies Fernández, Ramsés; Álvarez Alba, María Dolores; Fernández Fernández, Jesús; Fernández Villamil, Amaya.

Si te dedicas a la ciencia, ¡divúlgala! (2): 35-54 (2021)
Digital.CSIC